Teeth Whitening

A good smile is something that everyone loves to have and is proud of. Teeth and their colour plays a huge role in the overall aesthetic of someone’s smile. It is usual for teeth to discolour over the years, but this can prematurely age someone’s smile. As dentists, we must identify the reason for discolouration and determine the best action to improve it.

What Causes Teeth To Stain? 

Teeth usually discolour because of two reasons, extrinsic and intrinsic staining. 

Extrinsic staining occurs when food, drinks or tobacco stain the outer layer of the teeth. It can result in unsightly brown staining of the teeth. Extrinsic stains can be removed with the help of polishing techniques, which leave the teeth visibly whiter. If the teeth still appear stained, then it can be a case of intrinsic staining.

Intrinsic staining occurs when food, drinks or tobacco stain the inside layer of the teeth. It can result in the tooth appearing to be discoloured. Intrinsic stains are more permanent than extrinsic stains. Dental bonding, veneers or crowns are used to treat intrinsic staining.

What Are The Types Of Teeth Whitening Procedures Available?

Being able to whiten the teeth is a straightforward process and is the most cost-effective way of making a significant improvement to a smile. There are two ways in which people can whiten their teeth: Home or In-chair whitening.  

Both use gels, carbamide peroxide or hydrogen peroxide, which are applied to the teeth and over time, they remove the internal discolouration and staining within the tooth. It is safe to do either procedure.

Home Whitening

This is an easy way of improving the colour of your teeth. The method we use is to provide our patients with a take-home kit which is applied nightly for two weeks. At the end of this period, the teeth will be visibly whiter.

Home whitening suits patients who require a moderate amount of tooth whitening, and as the process is gradual, the patients can stop whitening when they feel they are happy with the improvement.

The following is an example of home whitening. The effects were achieved after two weeks of nightly whitening application.

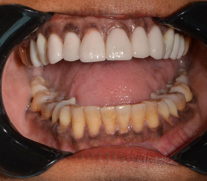
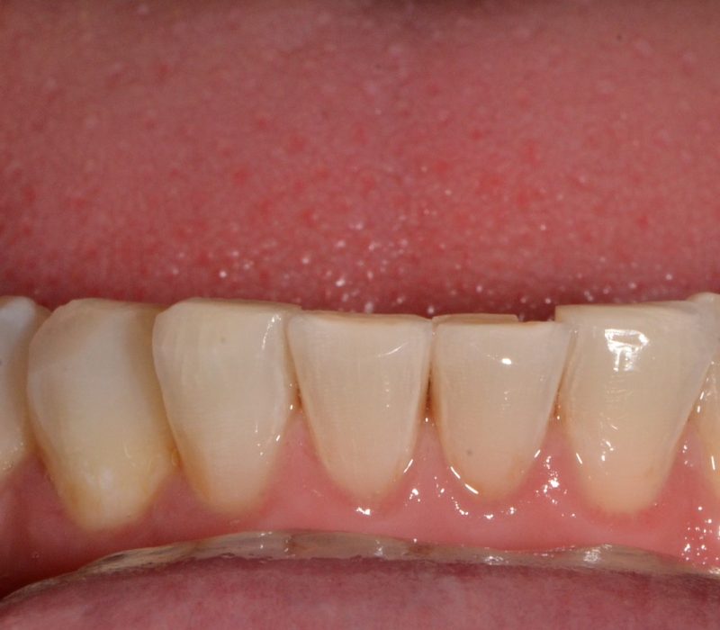
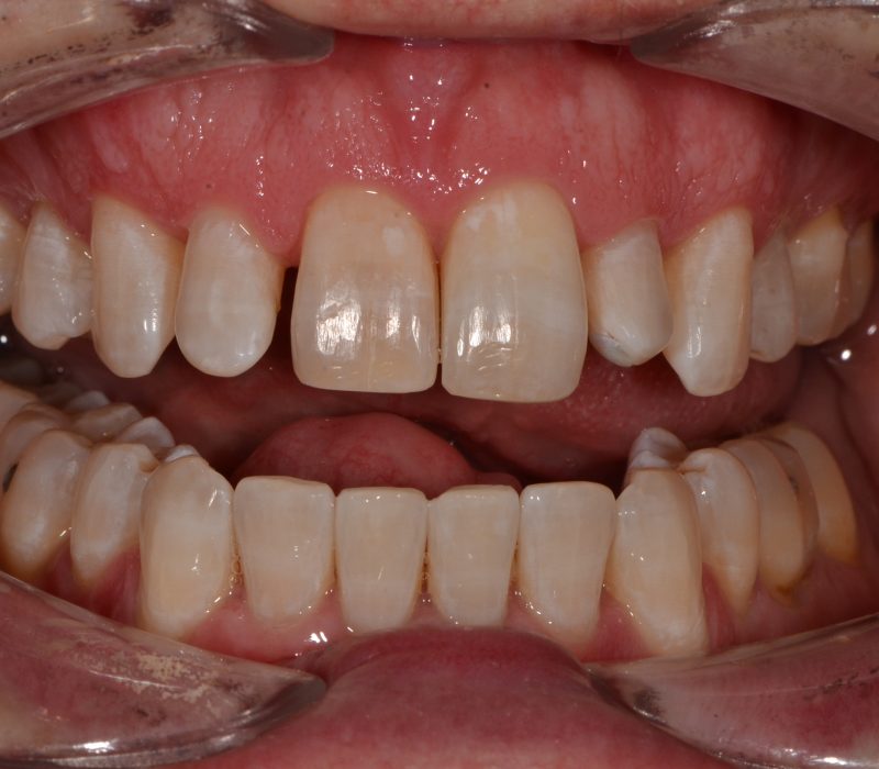
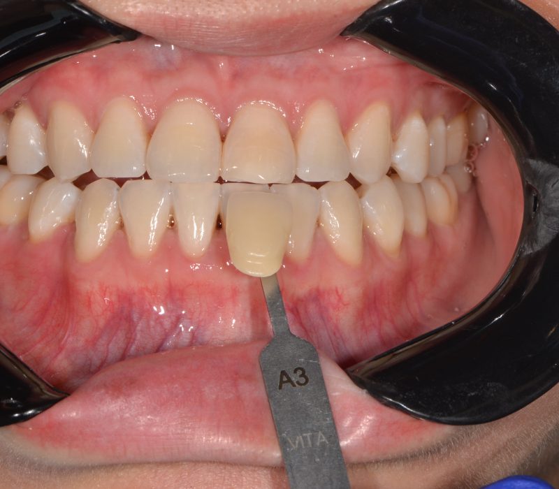
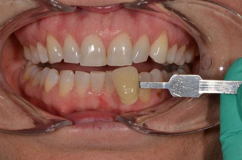
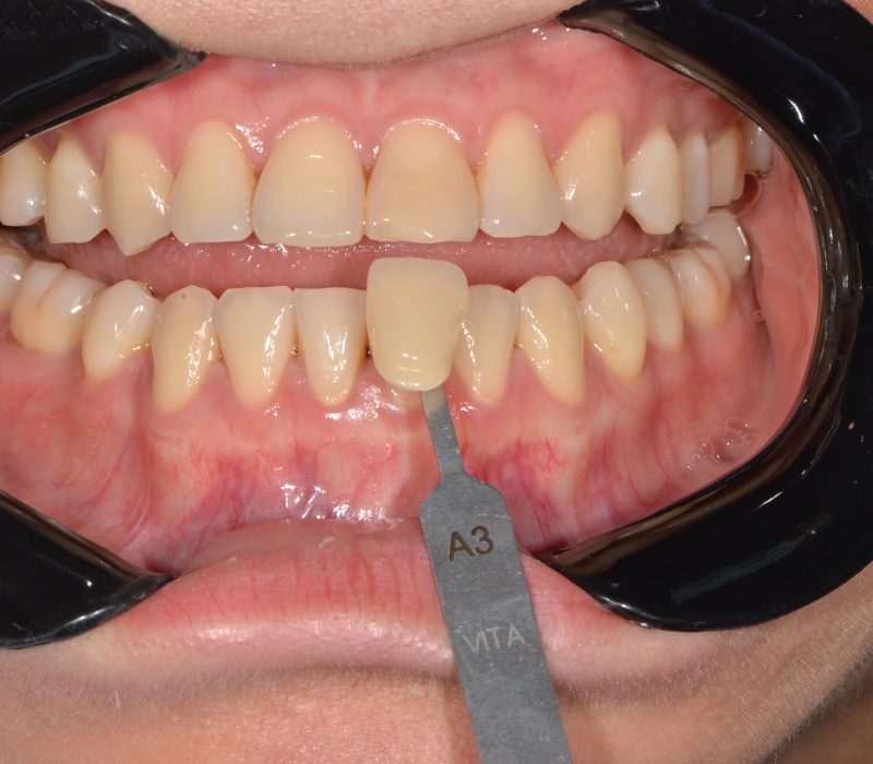
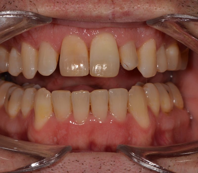
Case 1:

This patient presented with internal discolouration of the teeth.  Custom made home whitening trays were made and a 3 week course of home whitening was done to achieve a whiter appearance.  Treatment by Dr James Allen BDS (LON), MSc (Aesthetics), Assoc.FCGDent, Registered Dentist, General Registration (DEN 0000981640)   

Clinical photography shared for educational purposes. Results reflect this patient’s individual clinical circumstances. Individual outcomes vary. Shared with written patient consent. This post does not constitute a guarantee of results. Please consult a qualified dental practitioner to discuss your specific needs. Patient has provided written consent for the use of these images.  Images were taken 3 weeks apart.

Case 2:

This patient presented with internal discolouration of the teeth.  Custom made home whitening trays were made and a 3 week course of home whitening was done to achieve a whiter appearance.  Treatment by Dr James Allen BDS (LON), MSc (Aesthetics), Assoc.FCGDent, Registered Dentist, General Registration (DEN 0000981640)   

Clinical photography shared for educational purposes. Results reflect this patient’s individual clinical circumstances. Individual outcomes vary. Shared with written patient consent. This post does not constitute a guarantee of results. Please consult a qualified dental practitioner to discuss your specific needs. Patient has provided written consent for the use of these images.  Images were taken 3 weeks apart.

Case 3:

This patient presented with internal discolouration of the teeth.  Custom made home whitening trays were made and a 3 week course of home whitening was done to achieve a whiter appearance.  Treatment by Dr James Allen BDS (LON), MSc (Aesthetics), Assoc.FCGDent, Registered Dentist, General Registration (DEN 0000981640)   

Clinical photography shared for educational purposes. Results reflect this patient’s individual clinical circumstances. Individual outcomes vary. Shared with written patient consent. This post does not constitute a guarantee of results. Please consult a qualified dental practitioner to discuss your specific needs. Patient has provided written consent for the use of these images.  Images were taken 3 weeks apart.

Case 4:

This patient presented with internal discolouration of the teeth.  Custom made home whitening trays were made and a 3 week course of home whitening was done to achieve a whiter appearance.  Treatment by Dr James Allen BDS (LON), MSc (Aesthetics), Assoc.FCGDent, Registered Dentist, General Registration (DEN 0000981640)   

Clinical photography shared for educational purposes. Results reflect this patient’s individual clinical circumstances. Individual outcomes vary. Shared with written patient consent. This post does not constitute a guarantee of results. Please consult a qualified dental practitioner to discuss your specific needs. Patient has provided written consent for the use of these images.  Images were taken 3 weeks apart.

Case 5:

This patient presented with internal discolouration of the teeth.  Custom made home whitening trays were made and a 3 week course of home whitening was done to achieve a whiter appearance.  Treatment by Dr James Allen BDS (LON), MSc (Aesthetics), Assoc.FCGDent, Registered Dentist, General Registration (DEN 0000981640)   

Clinical photography shared for educational purposes. Results reflect this patient’s individual clinical circumstances. Individual outcomes vary. Shared with written patient consent. This post does not constitute a guarantee of results. Please consult a qualified dental practitioner to discuss your specific needs. Patient has provided written consent for the use of these images.  Images were taken 3 weeks apart.

Case 6:

This patient presented with internal discolouration of the teeth.  Custom made home whitening trays were made and a 3 week course of home whitening was done to achieve a whiter appearance.  Treatment by Dr James Allen BDS (LON), MSc (Aesthetics), Assoc.FCGDent, Registered Dentist, General Registration (DEN 0000981640)   

Clinical photography shared for educational purposes. Results reflect this patient’s individual clinical circumstances. Individual outcomes vary. Shared with written patient consent. This post does not constitute a guarantee of results. Please consult a qualified dental practitioner to discuss your specific needs. Patient has provided written consent for the use of these images.  Images were taken 3 weeks apart.

Case 7:

This patient presented with internal discolouration of the teeth.  Custom made home whitening trays were made and a 3 week course of home whitening was done to achieve a whiter appearance.  Treatment by Dr James Allen BDS (LON), MSc (Aesthetics), Assoc.FCGDent, Registered Dentist, General Registration (DEN 0000981640)   

Clinical photography shared for educational purposes. Results reflect this patient’s individual clinical circumstances. Individual outcomes vary. Shared with written patient consent. This post does not constitute a guarantee of results. Please consult a qualified dental practitioner to discuss your specific needs. Patient has provided written consent for the use of these images.  Images were taken 3 weeks apart.

You can see how stained the teeth looked before the teeth whitening treatment and the significant improvement after two weeks.

In-chair Whitening

This involves a session in the chair where we isolate the teeth, place a more concentrated whitening gel and use an activating lamp to whiten the teeth over a period of 45 minutes. The teeth will be whiter at the end of this session. This suits some people if they do not feel they would be able to do the nightly application at home. It is also particularly good for teeth which are much darker and need the strength of the in-chair gel to get the teeth to the desired colour.

Case 1:

69bb3523dac584647bdc0b8c
69bb3541aaac0f97b2797dbd

This patient presented with internal discolouration of the teeth.  In one 90 minute appointment of In-Chair Zoom teeth whitening, the teeth achieved a whiter appearance.  Treatment by Dr James Allen BDS (LON), MSc (Aesthetics), Assoc.FCGDent, Registered Dentist, General Registration (DEN 0000981640)   

Clinical photography shared for educational purposes. Results reflect this patient’s individual clinical circumstances. Individual outcomes vary. Shared with written patient consent. This post does not constitute a guarantee of results. Please consult a qualified dental practitioner to discuss your specific needs. Patient has provided written consent for the use of these images.  Images were taken 90 minutes apart.

Case 2:

69bb345b3ee408373a62af6d
69c3978a55213719baa44997

This patient presented with internal discolouration of the teeth.  In one 90 minute appointment of In-Chair Zoom teeth whitening, the teeth achieved a whiter appearance.  Treatment by Dr James Allen BDS (LON), MSc (Aesthetics), Assoc.FCGDent, Registered Dentist, General Registration (DEN 0000981640)   

Clinical photography shared for educational purposes. Results reflect this patient’s individual clinical circumstances. Individual outcomes vary. Shared with written patient consent. This post does not constitute a guarantee of results. Please consult a qualified dental practitioner to discuss your specific needs. Patient has provided written consent for the use of these images.  Images were taken 90 minutes apart.

Case 3:

69bb346853d4f11d20b663cb
69bb346857109da4b95b9cf5

This patient presented with internal discolouration of the teeth.  In one 90 minute appointment of In-Chair Zoom teeth whitening, the teeth achieved a whiter appearance.  Treatment by Dr James Allen BDS (LON), MSc (Aesthetics), Assoc.FCGDent, Registered Dentist, General Registration (DEN 0000981640)   

Clinical photography shared for educational purposes. Results reflect this patient’s individual clinical circumstances. Individual outcomes vary. Shared with written patient consent. This post does not constitute a guarantee of results. Please consult a qualified dental practitioner to discuss your specific needs. Patient has provided written consent for the use of these images.  Images were taken 90 minutes apart.

Case 4:

69bb34734e876281c2a066d0
69bb3473822b50ac2292accd

This patient presented with internal discolouration of the teeth.  In one 90 minute appointment of In-Chair Zoom teeth whitening, the teeth achieved a whiter appearance.  Treatment by Dr James Allen BDS (LON), MSc (Aesthetics), Assoc.FCGDent, Registered Dentist, General Registration (DEN 0000981640)   

Clinical photography shared for educational purposes. Results reflect this patient’s individual clinical circumstances. Individual outcomes vary. Shared with written patient consent. This post does not constitute a guarantee of results. Please consult a qualified dental practitioner to discuss your specific needs. Patient has provided written consent for the use of these images.  Images were taken 90 minutes apart.

Case 5:

69bb3481dac584575adbfd41
69bb34810d06db107bd000cb

This patient presented with internal discolouration of the teeth.  In one 90 minute appointment of In-Chair Zoom teeth whitening, the teeth achieved a whiter appearance.  Treatment by Dr James Allen BDS (LON), MSc (Aesthetics), Assoc.FCGDent, Registered Dentist, General Registration (DEN 0000981640)   

Clinical photography shared for educational purposes. Results reflect this patient’s individual clinical circumstances. Individual outcomes vary. Shared with written patient consent. This post does not constitute a guarantee of results. Please consult a qualified dental practitioner to discuss your specific needs. Patient has provided written consent for the use of these images.  Images were taken 90 minutes apart.

Case 6:

69bb348aaaac0f8392796df9
69bb348a5cc2fa1f3244e13b

This patient presented with internal discolouration of the teeth.  In one 90 minute appointment of In-Chair Zoom teeth whitening, the teeth achieved a whiter appearance.  Treatment by Dr James Allen BDS (LON), MSc (Aesthetics), Assoc.FCGDent, Registered Dentist, General Registration (DEN 0000981640)   

Clinical photography shared for educational purposes. Results reflect this patient’s individual clinical circumstances. Individual outcomes vary. Shared with written patient consent. This post does not constitute a guarantee of results. Please consult a qualified dental practitioner to discuss your specific needs. Patient has provided written consent for the use of these images.  Images were taken 90 minutes apart.

Why Choose The Aesthetic Smile Collective For Teeth Whitening?

At The Aesthetic Smile Collective, we give all our patients a personalised approach and tailor-made treatment plans for their dental concerns. We use the finest and latest technology to deliver the best teeth-whitening results. 

We use Zoom® In-chair whitening from Phillips, an excellent whitening system that has been demonstrated for many years to produce outstanding outcomes.

Zoom® whitening suits patients who require a significant level of whitening, which may not be possible with home whitening. It allows a much quicker improvement to the colour and also suits patients who are time-poor and would like things to be done instantly.

The following is a before and after example of teeth whitening that shows the effectiveness of Zoom® whitening, which was done in one session. The patient was very pleased by the end of the appointment and will be able to smile with renewed confidence.

Over time, the use of a home whitening kit would be beneficial to maintain the colour of the teeth as it is natural for the teeth to need topping up after 6-12 months. If you have questions regarding any aspects of teeth whitening, please call us at our North Brisbane practice, and we will be happy to answer them.

FAQs

How Long Do Teeth Stay White After Whitening?

Teeth whitening can last for years, but it depends on the type of product and procedure you get and the level of oral hygiene you maintain. Regular dental cleanups and good oral hygiene will keep your teeth white for years.

However, smoking, drinking, medication, diet, ageing and other factors can discolour your teeth over a period of time. But don’t worry. Just head into our clinic, and our experienced doctors can help you with a touch-up to maintain that million-dollar smile.

Whitening your veneers is not recommended as teeth whitening treatments can’t change their colour, but they can change the colour of your natural teeth. This can result in a smile that is uneven-toned and looks unpleasant to look at.

But just because you can’t whiten your veneers doesn’t mean you can’t maintain their colour and overall look. Book an appointment with us, and we can guide you through your options and procedures to look after your veneers.

In some instances, teeth whitening treatments have been known to cause temporary gum irritation. This treatment does not cause permanent damage and is not a common side effect of teeth whitening. Getting custom-fit mouthpieces from your dentist can reduce the risk of gum damage and irritation. The custom-made design ensures a snug fit and prevents the whitening gel from seeping out and affecting your gums.

If you have sensitive gums or teeth, discuss all your options with our doctors before you decide on a treatment. We have a range of options to help you with your problems. Book an appointment so that we can discuss the treatment plan with you.