Do you have gaps in your smile? Is it causing difficulty speaking, chewing, or affecting your confidence? Consider the transformative power of dental bridges. Take the first step towards reclaiming your confidence with our cutting-edge dental bridge options at The Aesthetic Smile Collective in Brisbane. Our expert dentists are dedicated to restoring the appearance and functionality of your teeth, ensuring you can smile, speak, and eat with ease.

What is A Dental Bridge?

A dental bridge is used to replace one or more missing teeth by filling in the gap between two natural teeth or dental implants. The bridge comprises one or more artificial teeth, called pontics, which are secured in place by dental crowns. The natural teeth on either side of the gap or the dental implants act as anchors for the replacement tooth.

Dental bridges help with chewing, speaking, maintaining face shape, and preventing teeth from moving. They are a cost-effective and efficient approach to replacing a missing tooth.

Smile Transformations

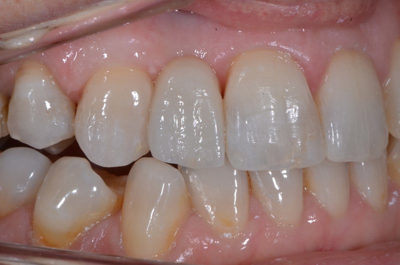
Patient 1

This patient replaced a missing back tooth with a ceramic bridge, which gives excellent aesthetics and restores her function on this side of her mouth.

Patient 2

Here is a case of a single-tooth replacement with an adhesive bridge.

Patient 3

This patient wanted to improve the appearance of her old bridge, which was made about 20 years ago. A combination of tooth whitening and a new ceramic bridge achieved a great outcome.

Are Dental Bridges Right For Me?

Dental bridges are an effective solution for missing teeth caused by decay, injury, or other factors.

You could be a good candidate as long as you have:

  • good oral hygiene
  • sufficient jaw bone density (to support the bridges)

 

Contact The Aesthetic Smile Collective to discuss your needs with our skilled dentists.

How Much Does A Dental Bridge Cost?

The Aesthetic Smile Collective provides cost-effective, quality solutions to all patients. The price of dental bridges depends on the number of teeth being replaced, the materials used, and the complexity of the case.

Cost of a 3-unit fixture: from $4800

(Please note: these are estimates, and the actual cost varies depending on your needs.)

FAQs

Proper care and maintenance can ensure the longevity of your dental bridge. Here are some tips for looking after your dental bridge:

  • Brush your teeth at least twice daily with fluoride toothpaste and floss daily. 
  • Avoid eating hard, crunchy, or sticky foods that could damage the bridge or cause it to become dislodged. Cut foods into smaller, manageable pieces and chew carefully.
  • Minimise consumption of sugary snacks and acidic beverages to prevent tooth decay and damage to the surrounding teeth and gums.
  • Schedule regular dental check-ups and cleanings with your dentist every six months or as recommended.

 

Inserting a dental bridge is not painful, and any discomfort is minimal. Preparing your teeth to anchor the bridge is generally done using local anaesthetic. After the preparation, a temporary bridge or separate temporary crowns are put in place, and there is usually little pain experienced post-procedure.

Dental bridges can last between 7 and 15 years, and in some cases, they can last longer as well. Factors like oral hygiene practices, the type of bridge, the materials used, and lifestyle affect the life of a dental bridge.