For those patient’s who are self-conscious about their smile or who want to enhance their smile, this can be a great option. There are a variety of ways in which this can be done and usually there are a combination of techniques used to achieve this.
The starting point of the process is the Consultation to discuss what the concerns are. Sometimes patients are unsure of what treatment is available and there could be simple measures to achieve the desired outcome.
Records are taken which would include photographs, x-rays and 3D scans. This then allows us to plan the case further and give options of treatment possible.
A Smile Make-Over can consist of:
- Teeth whitening
- Composite bonding or composite veneers
- Ceramic/porcelain veneers or crowns
- Orthodontic treatment or Clear Aligner Therapy
- Combination of all or some of these techniques
As each patient has different concerns and expectations, there is not a “One case fits all” approach. Each patient has a tailor-made plan to suit them and their budget.
For further information on Teeth Whitening, Composite Veneers, Clear Aligner Therapy and Ceramic/Porcelain crowns, please visit the relevant pages on our website under Treatment.
How are Ceramic/Porcelain veneers and crowns made?
At The Aesthetic Smile Collective, we use very skilled ceramists who custom make the veneers and crowns in Brisbane. These are usually done over two visits.
The first visit is to remove the old fillings and then prepare the teeth to receive the new custom-made veneers or crowns. The provisional veneers or crowns are made in a plastic, tooth coloured material which is in place for 2 weeks whilst the new veneers or crowns are being made. The second visit is to fit the new veneers or crowns.
How long do they last for?
Clinical studies show that ceramic veneers and crowns have a 12-15yr lifespan, however they can last much longer if they are well cared for.
How do you know which colour to choose for the new veneers or crowns?
We can try in different shades of material so you can see what the new colours will look like before we do any preparation on the teeth. We can then pass this information, along with photographs and scans to the laboratory so the ceramist has all the information to custom make new veneers or crowns.
Do I need to have an impression or mould taken?
95% of the time we do not need an impression or mould of the tooth. We use a 3D Intraoral Scanner to record the preparation of the teeth in the mouth. Patients find that by using the scanner it is far more comfortable than having a bulky impression taken. The scanning is extremely accurate and the veneer or crowns are made with the use of CAD-CAM software and then hand finished.
We do use a putty key of the teeth we are working on to make the provisional veneers or crowns so that you leave with a provisional set of veneers or crowns.
This is the type of scanner we have, the Dentsply-Sirona Primescan.
Case 1:
This patient presented with multiple discoloured, worn, decayed and malpositioned teeth. Ten upper porcelain veneers were made to improve her smile, remove decay, improve position and worn edges. Treatment by Dr James Allen BDS (LON), MSc (Aesthetics), Assoc.FCGDent, Registered Dentist, General Registration (DEN 0000981640)
Clinical photography shared for educational purposes. Results reflect this patient’s individual clinical circumstances. Individual outcomes vary. Shared with written patient consent. This post does not constitute a guarantee of results. Please consult a qualified dental practitioner to discuss your specific needs. Patient has provided written consent for the use of these images. Images were taken 4 weeks apart.
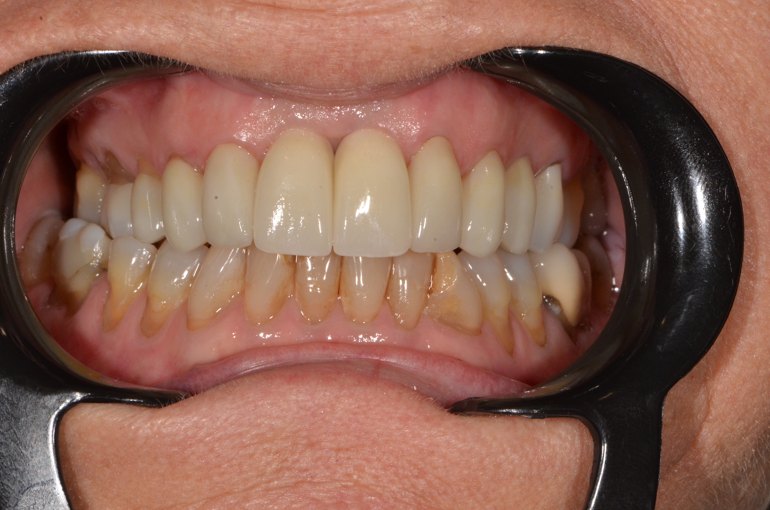
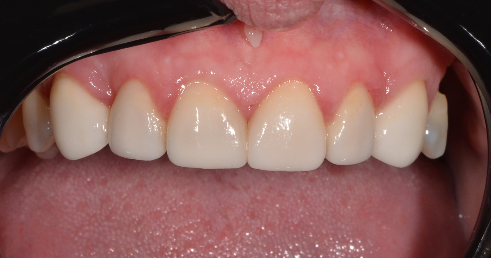
Case 2:
This patient presented with multiple discoloured, worn and decayed teeth. A combination of six upper porcelain veneers, one porcelain bridge and one composite direct veneer were made to improve her smile, remove decay, improve position and worn edges. Treatment by Dr James Allen BDS (LON), MSc (Aesthetics), Assoc.FCGDent, Registered Dentist, General Registration (DEN 0000981640)
Clinical photography shared for educational purposes. Results reflect this patient’s individual clinical circumstances. Individual outcomes vary. Shared with written patient consent. This post does not constitute a guarantee of results. Please consult a qualified dental practitioner to discuss your specific needs. Patient has provided written consent for the use of these images. Images were taken 4 weeks apart.
Case 3:
This patient presented with some crowding, discolouration and thinning of the edges of the upper teeth. A combination ofclear aligner therapy, home teeth whitening and direct composite bonding were done to improve her smile by widening the buccal corridor, whitening the teeth and repairing the worn edges. Treatment by Dr James Allen BDS (LON), MSc (Aesthetics), Assoc.FCGDent, Registered Dentist, General Registration (DEN 0000981640)
Clinical photography shared for educational purposes. Results reflect this patient’s individual clinical circumstances. Individual outcomes vary. Shared with written patient consent. This post does not constitute a guarantee of results. Please consult a qualified dental practitioner to discuss your specific needs. Patient has provided written consent for the use of these images. Images were taken 12 months apart.
Case 4:
This patient presented with some crowding, discolouration and worn edges of the upper teeth. A combination of home teeth whitening and eleven direct composite veneers were done to improve her smile by widening the buccal corridor, whitening the teeth and repairing the worn edges. Treatment by Dr James Allen BDS (LON), MSc (Aesthetics), Assoc.FCGDent, Registered Dentist, General Registration (DEN 0000981640)
Clinical photography shared for educational purposes. Results reflect this patient’s individual clinical circumstances. Individual outcomes vary. Shared with written patient consent. This post does not constitute a guarantee of results. Please consult a qualified dental practitioner to discuss your specific needs. Patient has provided written consent for the use of these images. Images were taken 4 months apart.
Case 5:
This patient presented with multiple failing crowns, fillings, chipped, worn and discoloured teeth. A combination of tenporcelain crowns and veneers were done to improve her smile by widening the buccal corridor, achieving whiter teeth and restoring the correct length of the teeth. Treatment by Dr James Allen BDS (LON), MSc (Aesthetics), Assoc.FCGDent, Registered Dentist, General Registration (DEN 0000981640)
Clinical photography shared for educational purposes. Results reflect this patient’s individual clinical circumstances. Individual outcomes vary. Shared with written patient consent. This post does not constitute a guarantee of results. Please consult a qualified dental practitioner to discuss your specific needs. Patient has provided written consent for the use of these images. Images were taken 3 months apart.
Case 6:
This patient presented with multiple failing fillings, decay, chipped, worn and discoloured teeth. A combination of four porcelain crowns and six direct composite veneers were done to improve her smile by widening the buccal corridor, achieving whiter teeth and restoring the correct length of the teeth. Treatment by Dr James Allen BDS (LON), MSc (Aesthetics), Assoc.FCGDent, Registered Dentist, General Registration (DEN 0000981640)
Clinical photography shared for educational purposes. Results reflect this patient’s individual clinical circumstances. Individual outcomes vary. Shared with written patient consent. This post does not constitute a guarantee of results. Please consult a qualified dental practitioner to discuss your specific needs. Patient has provided written consent for the use of these images. Images were taken 3 months apart.
Case 7:
This patient presented with multiple chipped, worn, malformed and discoloured teeth. Six porcelain veneers were done to improve her smile by closing the gaps, achieving whiter teeth and restoring the correct length of the teeth. Treatment by Dr James Allen BDS (LON), MSc (Aesthetics), Assoc.FCGDent, Registered Dentist, General Registration (DEN 0000981640)
Clinical photography shared for educational purposes. Results reflect this patient’s individual clinical circumstances. Individual outcomes vary. Shared with written patient consent. This post does not constitute a guarantee of results. Please consult a qualified dental practitioner to discuss your specific needs. Patient has provided written consent for the use of these images. Images were taken 1 month apart.
Case 8:
This patient presented with poorly shaped and coloured implant crowns, multiple discoloured teeth with large failing fillings. Two new implant crowns, four porcelain crowns and four porcelain veneers were done to improve her smile by achieving whiter teeth and restoring the correct length of the teeth. Treatment by Dr James Allen BDS (LON), MSc (Aesthetics), Assoc.FCGDent, Registered Dentist, General Registration (DEN 0000981640)
Clinical photography shared for educational purposes. Results reflect this patient’s individual clinical circumstances. Individual outcomes vary. Shared with written patient consent. This post does not constitute a guarantee of results. Please consult a qualified dental practitioner to discuss your specific needs. Patient has provided written consent for the use of these images. Images were taken 1 month apart.
Case 9:
This patient presented with fourrepaired porcelain veneers, discolouration of the veneers, discolouration of the teeth. A combination of home teeth whitening, four new porcelain veneers and two composite filling were done to improve her smile by achieving whiter teeth and restoring the correct length of the teeth. Treatment by Dr James Allen BDS (LON), MSc (Aesthetics), Assoc.FCGDent, Registered Dentist, General Registration (DEN 0000981640)
Clinical photography shared for educational purposes. Results reflect this patient’s individual clinical circumstances. Individual outcomes vary. Shared with written patient consent. This post does not constitute a guarantee of results. Please consult a qualified dental practitioner to discuss your specific needs. Patient has provided written consent for the use of these images. Images were taken 3 months apart.
Case 10:
This patient presented with six lower chipped, worn, decayed and discoloured teeth. Six new porcelain veneers were done to improve the smile by achieving whiter teeth and restoring the correct length of the teeth. Treatment by Dr James Allen BDS (LON), MSc (Aesthetics), Assoc.FCGDent, Registered Dentist, General Registration (DEN 0000981640)
Clinical photography shared for educational purposes. Results reflect this patient’s individual clinical circumstances. Individual outcomes vary. Shared with written patient consent. This post does not constitute a guarantee of results. Please consult a qualified dental practitioner to discuss your specific needs. Patient has provided written consent for the use of these images. Images were taken 1 month apart.
Case 11:
This patient presented with four chipped, worn, eroded, decayed and discoloured teeth. Four porcelain veneers were done to improve the smile by achieving whiter teeth and restoring the correct length of the teeth. Treatment by Dr James Allen BDS (LON), MSc (Aesthetics), Assoc.FCGDent, Registered Dentist, General Registration (DEN 0000981640)
Clinical photography shared for educational purposes. Results reflect this patient’s individual clinical circumstances. Individual outcomes vary. Shared with written patient consent. This post does not constitute a guarantee of results. Please consult a qualified dental practitioner to discuss your specific needs. Patient has provided written consent for the use of these images. Images were taken 1 month apart.
Case 12:
This patient presented with six chipped, worn, eroded, decayed and discoloured teeth. Six porcelain veneers were done to improve the smile by achieving whiter teeth and restoring the correct length of the teeth. Treatment by Dr James Allen BDS (LON), MSc (Aesthetics), Assoc.FCGDent, Registered Dentist, General Registration (DEN 0000981640)
Clinical photography shared for educational purposes. Results reflect this patient’s individual clinical circumstances. Individual outcomes vary. Shared with written patient consent. This post does not constitute a guarantee of results. Please consult a qualified dental practitioner to discuss your specific needs. Patient has provided written consent for the use of these images. Images were taken 1 month apart.
Once a plan has been agreed to, then the process of the Smile Make-Over can start. Some examples of a Smile Make-Over are shown below, all performed by Dr James Allen.
Case 1
This lady had never been happy with the colour and shape of her teeth and wanted to correct both. We planned for whitening of the lower teeth and ten porcelain veneers to the upper teeth. Her smile was rejuvenated and improved her self confidence.
Case 2
This lady had some discoloured crowns on her upper front teeth and was not happy with the overall alignment and colour. We planed two new crowns on her front teeth and 8 further ceramic veneers on her upper teeth to complete the new smile.
Case 3
This lady presented with multiple discoloured fillings and crowns on her upper teeth especially. We replaced the old, failing restorations with ten ceramic crowns and veneers to give the patient a more balanced and youthful appearance as well as to strengthen the teeth that had large fillings present.
Case 4
This chap had very large failing fillings on his upper front teeth and a temporary bridge to replace the upper left lateral tooth. One part of his treatment involved strengthening and improving his smile with ceramic crowns and a bridge to the upper six front teeth.
Case 5
The issue here was the dark metal edges of the crowns showing on her two upper lateral teeth and discolouration to the upper central teeth. A combination of tooth whitening and two new crowns completed her new smile and was done in three visits.
If you have any questions about Smile Make-Over’s, please call the practice on 3089-4455.