Tooth coloured crowns made of ceramic are a fantastic way of strengthening teeth that have been made weaker because of decay, failed large fillings, root canal treatment, cracks or to improve the aesthetics.
How are they made?
At The Aesthetic Smile Collective, we use very skilled ceramists who custom make the crowns in Brisbane. These are done over two visits.
The first visit is to remove the old filling and decay and then prepare the tooth to receive the new custom-made crown. There is a provisional crown made in a plastic, tooth coloured material which is in place for 2 weeks whilst the new ceramic crown is being made. The second visit is to fit the new crown.
This patient presented with 2 old crowns that had decay underneath them. Treatment involved replacing the 2 crowns with 2 new ceramic crowns. This was done over 2 appointments, 2 weeks apart. By Dr James Allen BDS (LON), MSc (Aesthetics), Assoc.FCGDent, Registered Dentist, General Registration (DEN 0000981640)
Clinical photography shared for educational purposes. Results reflect this patient’s individual clinical circumstances. Individual outcomes vary. Shared with written patient consent. This post does not constitute a guarantee of results. Please consult a qualified dental practitioner to discuss your specific needs. Patient has provided written consent for the use of these images.
This patient presented with 2 large metal amalgam fillings that were failing due to decay, one had chipped and had been repaired elsewhere before. Treatment involved removing the old metal fillings and placing 2 ceramic crowns. This was done over 2 appointments, 2 weeks apart. By Dr James Allen BDS (LON), MSc (Aesthetics), Assoc.FCGDent, Registered Dentist, General Registration (DEN 0000981640)
Clinical photography shared for educational purposes. Results reflect this patient’s individual clinical circumstances. Individual outcomes vary. Shared with written
How long do they last for?
Clinical studies show that ceramic crowns have a 12-15yr lifespan, however they can last much longer if they are well cared for.
Can they be made to match the colour of my teeth?
Yes, the ceramists use their skill to ensure that the colour of the new crown will match as close as possible to the adjacent teeth so they blend in. We take photographs and scans of the teeth so that the ceramist has all the information to custom make the crown.
Do I need to have an impression or mould taken?
95% of the time we do not need an impression or mould of the tooth. We use a 3D Intraoral Scanner to record the preparation of the tooth in the mouth. Patients find that by using the scanner it is far more comfortable than having a bulky impression taken. The scanning is extremely accurate and the crowns are made with the use of CAD-CAM software and then hand finished.
We do take a very small putty key of the tooth we are working on to make the provisional crown so that you leave with a replica of the tooth we started with.
This is the type of scanner we have, the Dentsply-Sirona Primescan.
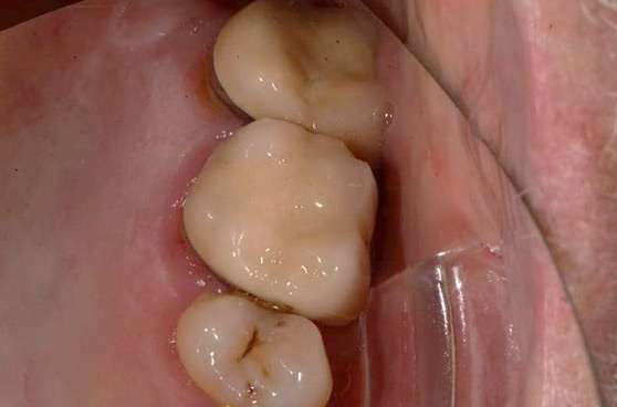
Case 1
This patient had two ceramic crowns made to replace failing metal fillings on the back teeth. This will provide the patient with much better strength and chewing ability in the long-term with reduced risk of fracture.
Case 2
This patient had a ceramic crown made replace an old crown which had broken and suffered decay. The new crown fits perfectly and appears very natural.
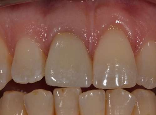
Case 3
This patient was not happy with the upper front tooth which had a discoloured crown and was too long. The old crown was removedand a new all ceramic crown was made which blends in much better.
If you have any questions regarding ceramic crowns, please call the practice on 3089-4455.