Embarking on a journey towards a more confident smile? Dental implants could be the answer. The Aesthetic Smile Collective in Brisbane is proud to offer state-of-the-art dental implant solutions that restore both form and function to your teeth.
What Is A Dental Implant?
Dental implants are a highly effective solution for replacing missing teeth. A biocompatible titanium post is inserted into the jawbone, which acts as an artificial tooth root. An abutment is then attached to the post, which holds a custom-made crown in place. The result? A natural-looking, fully functional tooth that blends seamlessly with your existing teeth.
Smile Transformations
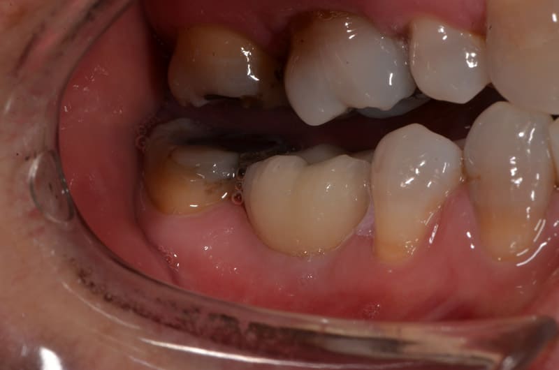
Patient 1
This patient had a lower molar tooth missing which affected her eating. We created a biocompatible implant and aesthetic crown, restoring her ability to chew properly and reducing the stress on the adjacent teeth.
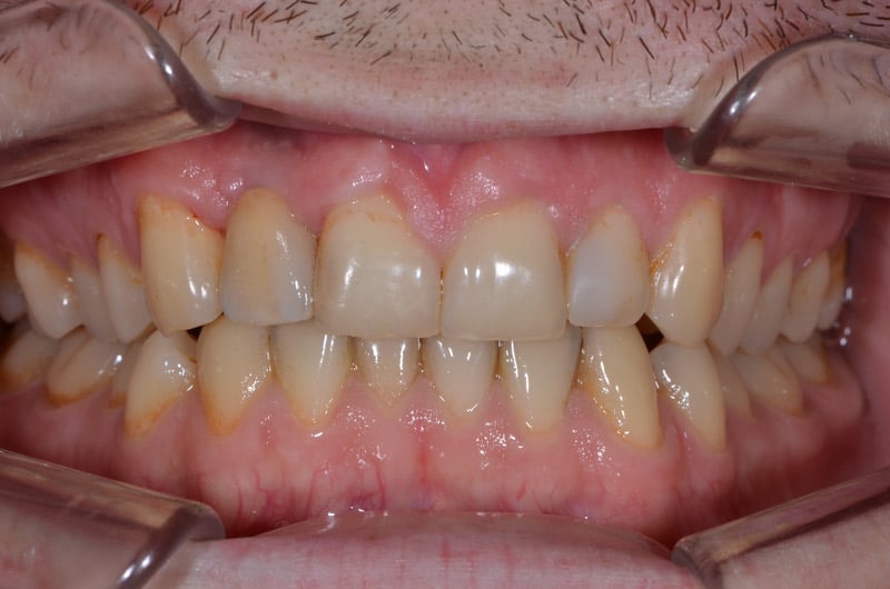
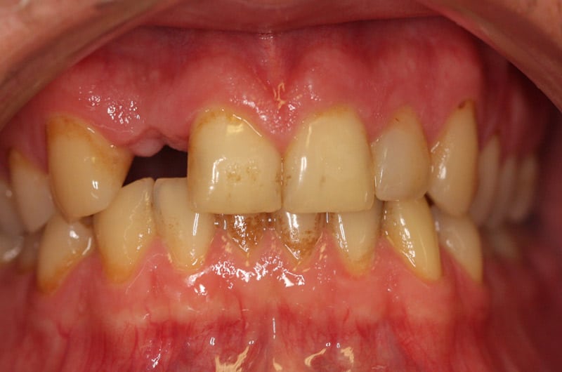
Patient 2
This upper front tooth was replaced with a dental implant and an aesthetic crown, resulting in a seamlessly natural appearance and fully restored functionality.
Are Dental Implants Right For Me?
Dental implants may be an ideal solution if you’re experiencing tooth loss due to decay, injury or gum disease. Our dental clinic provides this treatment procedure to those who have good oral hygiene and sufficient bone density to support the implants. Contact The Aesthetic Smile Collective to discuss your needs with our experienced dentists.
How Much Does A Dental Implant Cost?
The price of dental implants varies depending on the tooth being replaced, the type of implant and the complexity of the case. However, you can expect to pay:
Single tooth implant with crown: from $5250
(Please note: these are estimates, and the actual cost varies depending on your needs.)
Dental implant procedures take several appointments spread over 4-6 months, involving the placement of a titanium post, an abutment, and a custom-made crown.
There's usually no pain during the procedure due to local anaesthesia, but there may be some discomfort afterwards, which can be managed with pain relief.
Dental implants can last for many years with good oral hygiene and regular dental check-ups.